bizpage-forum -small.jpg
 

News:

Attract more customers to your front door with FREE Business Listing on your town, area and state. Add your shop/business NOW! https://smallbizlg.com/forum/index.php?msg=6706

Main Menu
partner-mycitytown-small-banner.jpg

The best topic

*

Replies: 2
Total votes: : 1

Last post:
Re: Ifako City Area by Adawebs

avatar_Adawebs

Cosmetic Dental care services

Started by Adawebs,

Previous topic - Next topic

0 Members and 1 Guest are viewing this topic.

partner-mycitytown-small-banner.jpg
The first post content
Cosmetic Dental care services


Cosmetic dentistry is all about your looks and your smile. When you come in for a consultation, we will evaluate the esthetics of your smile, as well as the health of the individual teeth and gums.
We will take study models, digital photographs and other measurements to determine the overall plan for improvement. Then, we will show you exactly how your new smile will look after reconstruction.

Procedures involved in cosmetic dentistry include:
Crowns refer to individual caps on specific teeth. These may be all porcelain, or a combination of porcelain and metal.
Generally, crowns are permanent, although patient diet, home care, and dental maintenance can have an effect on their longevity.
Bridges are multiple teeth connected together to form one chewing unit. They may be from three to more teeth in size. Typically, they are cemented in place and are generally permanent.
Veneers are laminated porcelain facings that are made in a dental lab and cemented over the front of your natural teeth. This procedure is especially attractive to people who have discolored teeth, but don't want to have their teeth prepared for conventional crowning.
Bonding refers to facings, like the veneers above, only using plastic resin, rather than porcelain. And, they are made right on the spot, without a dental lab involved.
The advantage of bonding is that there is usually no anesthetic or tooth preparation involved. The disadvantage is that, because they are resins, they do not last as long as veneers, and they can discolor with age.
Implants are titanium screws placed in your jawbone, usually by a periodontist, which provide a false root to place a new crown or bridge on. They replace broken or extracted teeth and are very effective in restoring natural looks and function.
Dentures, both partial and full, are an affordable alternative to implants. The benefits are ease of production and relative less expense. The disadvantages include less chewing strength and an unnatural feel and taste.






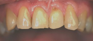
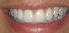
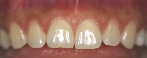
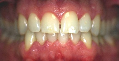
Before
After 
 


 
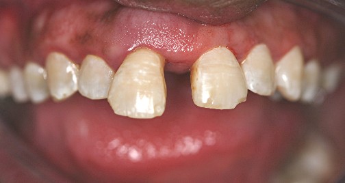
Before

  Link

Adawebs

Cosmetic Dental care services


Cosmetic dentistry is all about your looks and your smile. When you come in for a consultation, we will evaluate the esthetics of your smile, as well as the health of the individual teeth and gums.
We will take study models, digital photographs and other measurements to determine the overall plan for improvement. Then, we will show you exactly how your new smile will look after reconstruction.

Procedures involved in cosmetic dentistry include:
Crowns refer to individual caps on specific teeth. These may be all porcelain, or a combination of porcelain and metal.
Generally, crowns are permanent, although patient diet, home care, and dental maintenance can have an effect on their longevity.
Bridges are multiple teeth connected together to form one chewing unit. They may be from three to more teeth in size. Typically, they are cemented in place and are generally permanent.
Veneers are laminated porcelain facings that are made in a dental lab and cemented over the front of your natural teeth. This procedure is especially attractive to people who have discolored teeth, but don't want to have their teeth prepared for conventional crowning.
Bonding refers to facings, like the veneers above, only using plastic resin, rather than porcelain. And, they are made right on the spot, without a dental lab involved.
The advantage of bonding is that there is usually no anesthetic or tooth preparation involved. The disadvantage is that, because they are resins, they do not last as long as veneers, and they can discolor with age.
Implants are titanium screws placed in your jawbone, usually by a periodontist, which provide a false root to place a new crown or bridge on. They replace broken or extracted teeth and are very effective in restoring natural looks and function.
Dentures, both partial and full, are an affordable alternative to implants. The benefits are ease of production and relative less expense. The disadvantages include less chewing strength and an unnatural feel and taste.






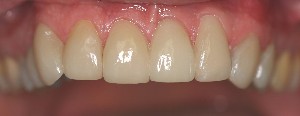
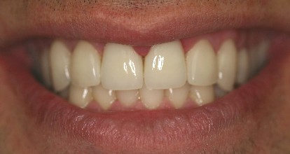
Before
After 
 


 
Before
  •  

Adawebs

  •  

Adawebs

Smile Gallery


Case Number 1 - Cerinate Lumineers
Before
After


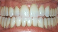
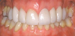
Case Number 2 - Cerinate Lumineers
Before
00000000000
After


Case Number 3 - Cerinate Lumineers
Before
After


Case Number 4 - Cerinate Lumineers
Before
After


Case Number 5 - Porcelain Crowns
Final Result


Case Number 6 - Full Mouth Rehabilitation
Final Result

  •  

Adawebs

  •  

🡱 🡳

Similar topics (4)

partner-mycitytown-small-banner.jpg